한쪽 발이 퉁퉁 붓고 치아가 쉽게 깨진다면 당뇨 합병증일까?
당뇨병이 심해지면 예상치 못한 여러 가지 당뇨 합병증이 발생됩니다. 주로 혈액순환이 원활하지 않은 문제로 많이 생기는데요. 만약 한쪽 발에서 발목까지 심하게 퉁퉁 붓거나 치아가 쉽게 부서진다면 이것 또한 당뇨 합병증일까요? 이번 포스팅에서는 이러한 증상이 어떤 당뇨 합병증에 해당되는지와 왜 그런 증상이 나타나는지 알아보겠습니다. 그리고 중요한 앞으로 어떻게 관리하면 좋을지에 대해서도 살펴보겠습니다.
당뇨 합병증의 일반적인 증상
당뇨병은 인슐린의 분비 부족이나 인슐린 저항성으로 인해 혈당이 높아지는 질환입니다. 이로 인해 여러 가지 합병증이 발생할 수 있습니다. 당뇨병 환자는 혈당 조절이 잘 되지 않으면 신경, 혈관, 신장, 눈 등 다양한 장기에 영향을 미칠 수 있습니다. 특히, 만성 합병증은 시간이 지남에 따라 서서히 진행되기 때문에 초기에는 증상이 뚜렷하지 않을 수 있습니다.

갑자기 한쪽 발이 퉁퉁 붓는 증상이 생긴다면
한쪽 발이 퉁퉁 붓는 증상은 주로 혈액순환 문제와 관련이 있습니다. 당뇨병 환자는 혈관이 손상되거나 좁아져서 혈액이 원활하게 흐르지 못할 수 있습니다. 이로 인해 부종이 발생할 수 있으며, 특히 발목 부위에서 많이 나타납니다. 이러한 증상은 당뇨병성 신경병증이나 말초혈관질환의 징후일 수 있으므로 주의가 필요합니다.
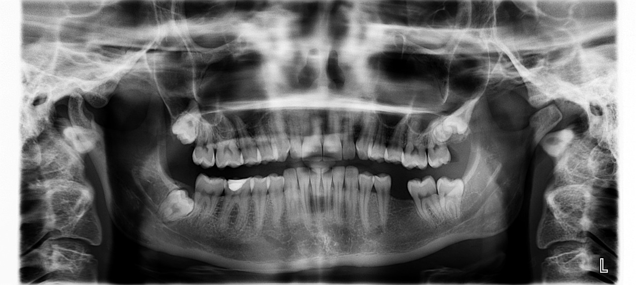
치아가 쉽게 깨지는 증상이 생긴다면
당뇨병 환자는 면역력이 저하되어 감염에 취약해지며, 구강 건강에도 영향을 미칠 수 있습니다. 치아가 쉽게 깨지거나 잇몸이 붓고 출혈이 발생하는 경우, 이는 당뇨병으로 인한 구강 합병증일 수 있습니다. 당뇨병 환자는 구강 위생을 철저히 관리해야 하며, 정기적인 치과 검진이 필요합니다.
당뇨 합병증의 종류
상기 두 가지 구체적인 증상에 따른 당뇨 합병증을 알아보았습니다. 그렇다면 전반적인 당뇨 합병증에는 어떤 것들이 있을까요? 당뇨 합병증은 크게 두 가지로 나눌 수 있습니다. 첫째, 미세혈관 합병증으로는 당뇨병성 망막병증, 신경병증, 신장병증이 있습니다. 둘째, 대혈관 합병증으로는 심혈관 질환, 뇌졸중, 말초혈관질환이 있습니다. 이러한 합병증은 조기에 발견하고 관리하는 것이 중요합니다.

당뇨 합병증 관리 방법 및 예방법
당뇨 합병증을 예방하고 관리하기 위해서는 다음과 같은 방법이 있습니다. 첫째, 정기적인 혈당 체크와 의사의 상담을 통해 혈당을 잘 조절해야 합니다. 둘째, 건강한 식습관을 유지하고 규칙적인 운동을 통해 체중을 관리해야 합니다. 셋째, 스트레스를 관리하고 충분한 수면을 취하는 것이 중요합니다. 그렇다면 예방법으로 건강한 생활 습관에는 어떤 것들이 있을까요?
1. 건강한 식사 : 채소와 과일을 충분히 섭취하고, 가공식품과 당분이 많은 음식을 피해야 합니다.
2. 규칙적인 운동 : 매일 30분 이상 유산소와 근력운동을 병행하여 체중을 관리하고 혈당을 조절해야 합니다.
3. 스트레스 관리 : 요가나 명상 등을 통해 만병의 근원인 스트레스를 줄이는 것이 좋습니다.
4. 정기적인 건강 검진 : 1년에 한 번은 당뇨 합병증 검사를 받는 것이 좋습니다.
당뇨 환자가 한쪽 발이 퉁퉁 붓고 치아가 쉽게 깨지는 증상이 나타난다면
당뇨병은 관리가 필요한 만성 질환입니다. 만약 당뇨 환자인 본인이나 주변 지인 중에 한쪽 발이 퉁퉁 붓거나 치아가 쉽게 깨지는 증상이 나타난다면, 즉시 전문가의 상담을 받는 것이 중요합니다. 이미 당뇨 합병증이 많이 진행된 상태로 보이기 때문에 병원의 즉시 처방이 필요해 보입니다. 그리고 당뇨약을 복용 중인 환자에게서 이 증상이 나타나고 있다면 약물 부작용이 원인일 수도 있습니다. 병원 방문 시 복용 중인 약물에 대해서도 필히 상담받아보시길 바랍니다.
함께 읽으면 좋은 글
당뇨병성 케톤산증 재발 원인과 치료 방법
당뇨병성 케톤산증이라고 들어보셨나요? 당뇨병의 급성 합병증이라고 하는 케톤산증은 왜 생기는 걸까요? 한 번 발생되면 재발되기도 쉽다고 하는데 치료법이 없는 걸까요? 이번 포스팅에서는
nomadmino.com
중년 뱃살 잘 안빠지는 이유와 효율적으로 뱃살 빼는 방법
복부 지방인 뱃살은 단기간에 빼기 힘든 부위입니다. 뱃살을 빼는 이유는 미용의 목적도 있지만 중년의 경우 건강상 문제가 큽니다. 과도한 뱃살은 심혈관 질환, 당뇨병 등 여러 건강 문제를 유
nomadmino.com
갑자기 귀가 안들리는 돌발성 난청 원인과 증상, 치료 방법
갑자기 귀가 잘 안 들린다면 어떻게 해야 될까요? 그리고 몇 시간을 지나 2~3일간 계속 들리지 않는다면 공포에 휩싸이게 될 겁니다. 많은 사람들이 돌발성 난청을 경험할 수 있어요. 돌발성 난청
nomadmino.com
댓글